Originally Posted by
nynco
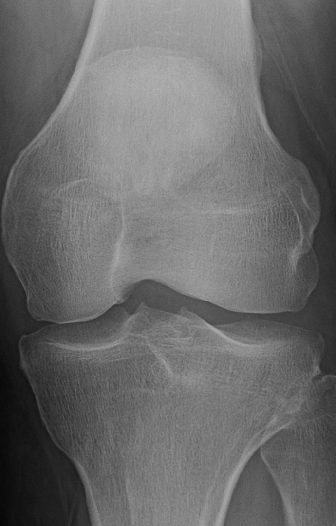
Your sunrise pateler views (bottom knee cap floating in space view) are worrying. You are developing bone avulsions (the part where it looks like it is separating) most likely due to impact injury coupled with straining tendons. You got to start wearing knee pads for what ever you are doing that is impacting them. If that continues in the same path, even walking will be a chore.
On the lateral view I can see see a section of calcification on the anterior aspect. ................... The worrying part is just bellow the calcium I see a region that looks like a chip fracture or an older one. Its the diagonal line with the offset. Of course, I could just be nitpicking and just seeing something that is an optical illusion.